Demuestran que la melatonina protege del daño renal provocado por la obesidad con diabetes
Un estudio internacional liderado por la UGR muestra la eficacia de este tratamiento a la hora de ralentizar, retrasar y/o prevenir la progresión de la enfermedad en el riñón hacia la insuficiencia renal en modelos animales de diabesidad
Científicos de la Universidad de Granada (UGR), el Hospital Universitario La Paz (Madrid) y la Universidad de Texas (EEUU) han dado un importante paso en la lucha contra el daño renal y su progresión hacia la insuficiencia renal, que está estrechamente relacionada con la diabesidad (obesidad y su diabetes tipo 2) y sus complicaciones.
Concretamente, en dos nuevos estudios publicados recientemente en las prestigiosas revistas científicas “Journal of Clinical Medicine” y “Pharmaceuticals”, los investigadores han desarrollado en un modelo roedores obesos y diabéticos, y han demostrado que la melatonina protege el daño renal provocado por la diabesidad.
Los investigadores han demostrado que la administración crónica de melatonina a dosis (10 mg/ Kg peso corporal/ día) previene la alteración mitocondrial y del retículo endoplasmático, que juegan un papel crítico en el desarrollo y la patogénesis del daño en las células del riñón (nefronas), y su progresión hacia la insuficiencia renal.
Así, se ha comprobado que la melatonina previene la afectación en la función y de la dinámica de las mitocondrias celulares, disminuyendo el aumento de la producción de radicales libre de oxígeno (responsables del estrés oxidativo). También previene la alteración patológica en la función del retículo endoplasmático (otro orgánulo citoplasmático celular), que en condiciones de estrés oxidativo anormalmente elevado se relaciona con un incremento de la muerte celular programada (la nefrona) conducente a la pérdida de la funcionalidad renal, como paso previo al desarrollo de la insuficiencia renal y necesidad de hemodiálisis o de trasplante.
Los estudios coordinados por la UGR muestran la eficacia de la melatonina, a la hora de detener la progresión del daño renal mediada por el daño mitocondrial y el exceso del estrés del retículo endoplasmático.
Como explica el autor principal de este estudio, el investigador del departamento de Farmacología de la UGR Ahmad Agil, “el daño renal está causado por las complicaciones metabólicas de la obesidad, tales como la diabetes, hipertensión, alteraciones de la lípidos en sangre o la enfermedad del hígado graso. Dado que la prevalencia de estas patologías (en su conjunto reconocidas como síndrome metabólico) no dejan de aumentar, el daño renal y su progresión en el tiempo a insuficiencia renal, se ha convertido en un problema de salud que afecta a millones de personas en todo el mundo, con un gran coste socioeconómico, al requerir instalaciones de hemodiálisis y/o servicios de trasplante renal, con los correspondientes estudios de compatibilidad necesarios”.
Mejorar la función renal
La importancia de los trabajos radica no sólo en la eficacia de la melatonina para contrarrestar los dos mecanismos de daño renal propuestos, basados por un lado en la alteración de la función y la dinámica mitocondrial, y por otro en la función del retículo endoplasmático (RE)), sino que además también proponen un tratamiento alternativo preventivo. Este mejoraría esta función renal con un fármaco bien estudiado y con un perfil de seguridad muy alto como la melatonina, que es un medicamento que en la UE ha de ser, obligatoriamente, prescrito por un médico y que ya se administra en el tratamiento del insomnio.
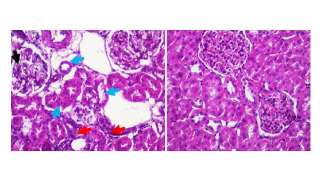
Los nuevos hallazgos también se han asociado con una mejora de la tasa de filtración glomerular y del daño renal de la nefrona, que se manifiestan en una disminución de los niveles de aclaramiento de creatinina (el mejor marcador de la función renal), de proteinuria, y en la mejora de la estructura renal, observada tras el estudio histopatológico del riñón.
Estos resultados están en la misma línea de los previamente publicados por estos investigadores en los últimos 10 años, lo que demuestra que la administración farmacológica de melatonina constituye otra nueva estrategia en el abordaje terapéutico de la diabesidad (obesidad central y su diabetes tipo 2) y sus complicaciones (como la esteatosis hepática, hipertensión, alteración lipídica, etc.).
“Nuestro principal reto es la aplicación de la melatonina y de otras estrategias como el ayuno intermitente en el campo de la medicina, especialmente para abordar la posibilidad de una perspectiva de tratamiento de las mencionadas patologías (la diabesidad y sus complicaciones) que implican un aumento del estrés oxidativo, y del daño mitocondrial y de la meta-inflamación asociada (inflamación de origen metabólico)”, señala Agil.
De acuerdo con los resultados indicados por estos investigadores, la melatonina podría ayudar a tratar el daño renal, lo que establece la necesidad de desarrollar nuevos ensayos clínicos para probar su efectividad en humanos. Los esperanzadores resultados obtenidos en modelos preclínicos invitan a llevar la melatonina a la fase siguiente, con el fin de investigar como ésta ayuda al mantenimiento de la homeostasis mitocondrial y del retículo endoplasmático, y en mayor medida, si la terapia con melatonina permitiría retrasar o detener el daño renal progresivo, al impulsar su uso farmacológico crónico enla reparación y la regeneración del riñón.
Este estudio ha sido financiado por el proyecto SAF2016-79794-R del Ministerio de Ciencia e Innovación (España), y el Fondo Europeo de Desarrollo Regional (FEDER) dirigido por el profesor Ahmad Agil.
En la actualidad, el grupo de investigación de la UGR que ha desarrollado este trabajo está interesado en colaborar con las empresas farmacéuticas que deseen colaborar a la comercialización de una patente, equipo que además está llevando a cabo más ensayos con otra molécula, que actúa como agonista de la melatonina.
Estos trabajos de investigación han sido realizados por un equipo multidisciplinar de investigadores con sede en el departamento de Farmacología de la UGR (Facultad de Medicina), Instituto de Neurociencias de la Universidad de Granada, e Instituto Biosanitario de Granada), bajo la dirección de Ahmad Agil, en colaboración con Miguel Navarro (departamento de Nutrición y Bromatología de la UGR); Gumersindo Fernández (Servicio de Endocrinología y Nutrición del Hospital Universitario La Paz de Madrid) y Ressul Reiter, del departamento de Biología Estructural (Universidad de Texas, San Antonio, EEUU).
La investigación demuestra que, a diferencia de las imágenes de alimentos, las marcas activan un sesgo atencional automático independiente del estado de saciedad








